Мужчина заразился пожирающей мозг амебой: Происшествия: Из жизни: Lenta.ru

0
183

Житель США заразился редким паразитом, который пожирает человеческий мозг. Инцидент произошел в штате Флорида, сообщает Sky News со ссылкой на заявление местных работников здравоохранения.

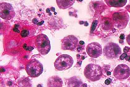
Министерство здравоохранения штата заявило, что один человек в округе Хиллсборо заразился Naegleria fowleri (амеба, способная при определенных условиях инфицировать мозг человека). О состоянии мужчины не сообщается.

Департамент здравоохранения Флориды опубликовал предупреждение для посетителей водоемов штата. «Помните, что это заболевание встречается редко, и эффективные стратегии профилактики могут обеспечить безопасный летний купальный сезон», — заявили в ведомстве.

Naegleria fowleri обычно встречается в теплой пресной воде, такой как озера, реки и горячие источники, и попадает в организм через нос. Оттуда амеба попадает в мозг, вызывая инфекцию, которая обычно приводит к летальному исходу. Симптомы заражения включают головную боль, лихорадку, тошноту, дезориентацию, рвоту, ригидность затылочных мышц, судороги, потерю равновесия, а также галлюцинации.

ОСТАВЬТЕ ОТВЕТ

Please enter your comment!
Please enter your name here